添加時間:2024-09-23 14:02 瀏覽次數: 來源:
我國腦卒中引起的死亡遠超過心血管病和癌癥。我國腦卒中病死率是美國的4倍,美國預防腦卒中做得最好,其方法已在我國推廣。在我國長期以來只重視腦中中的搶救,不知道預防,其實完全可以有效預防。原來引起腦卒中的血栓往往足頸動脈的血栓,它隨血液上行堵塞了腦血管,導致腦細胞缺血缺氧壞死。故及時發現頸部動脈狹窄血檢可以積極干預。 有效預防腦本中的發生,所以頭強部防前腦中風必不可少的前查手段。

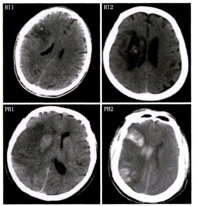
中、老年病患,有動脈粥樣硬化及高血壓病等腦卒中的危險因素,發病結合神經系統癥狀和體征,應當考慮急性腦梗死的可能。再經腦CT/MRI發現梗死灶,或排除腦出血、炎癥性疾病等,診斷即可確定。腦梗死有時頗似小量腦出血的臨床表現。腦栓塞在任何年齡都可以有發病的風險,可以在幾秒到幾分鐘達到頂峰。會有偏癱不能說話等局部神經功能損壞。栓子來源很種,可能是冠心病、心肌梗塞、心內膜炎等。合并心房纖顫,結合其他臟器官的支持診斷,CT跟磁共振都可以檢查確定栓塞位置數量還有是不是有伴發出血等問題??梢詭椭\斷。

中老年有高血壓糖尿病發病病史,起病神經功能缺損癥狀,臨床表現為腔隙綜合征,即可初步診斷本病。如果CT或磁共振證實有與神經功能缺失一致的腦部腔隙病灶, 符合大腦半球或腦干深部的小穿通動脈病變,即可明確診斷。少數患者隱匿起病,無明顯臨床癥狀,在影像學檢查時發現。

聯系人:13922709440 余先生
固 話:86-020-86059537
服務熱線:400-800-8232
郵 箱:xianhao266@163.com
公 司:廣州市顯浩醫療設備股份有限公司
廣州總部地址:廣州市黃埔區開源大道188號十三棟1301室
湖北公司地址:湖北省鐘祥市經濟開發區協企聯盟園區C6、C7棟